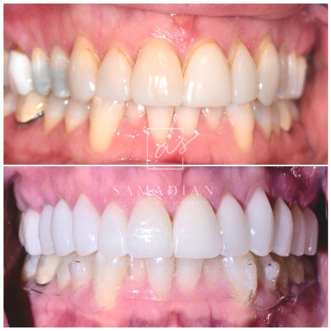
Patient 1
What an incredible transformation! ✨ This photo was taken immediately after the patient's veneers were delivered. For this Smile Makeover, Dr. Samadian gave her ten #PorcelainVeneers to help open up her side smile and improved her symmetrical appearance with a few subtle changes.
Individual results may vary.
Patient 2
Using porcelain veneers, Dr. Samadian was able to help his patient achieve a brighter and fuller smile. This outcome was carefully designed to meet her individual desires for her #smilemakeover, resulting in a happier and more confident smile!
Individual results may vary.
Patient 3
A beautiful #smilemakeover by Dr. Samadian and his team. This is the power of four temporary veneers after the patient's side smile (buccal corridor) was expanded and corrected with Invisalign. ✨ As this photo was taken immediately after the visit you can see where the gum tissue is still healing.
Individual results may vary.
Patient 4
This patient had come to us with veneers already previously put in. We were able to improve his smile by replacing the lower 6 front veneers. You can see it now appears more uniform and aesthetically pleasing. ✨
Individual results may vary.
Patient 5
This patient was able to achieve a fuller smile with porcelain veneers. Dr. Samadian examined the condition of her teeth and crafted a one-of-a-kind #smilemakeover that included involved covering her gum recession and filling the lip support. ⭐
Individual results may vary.
Patient 6
Our patient's smile says it all! He is simply shining two years after undergoing a #SmileMakeover 🤩 We only work with master ceramists to bring your vision of a perfect smile to life, using #PorcelainVeneers. Now our patient has a healthy bite, and beautiful, white teeth to match!
Individual results may vary.
Patient 7
Our patient's main concern was her old veneers and dental implants on her front teeth that over time developed gum recession. New veneers were able to cover her #GumRecession and she did not require a gum graft on most of her teeth except one, which she will receive later. We also corrected her side smile and the gap she had on her cheek side 😁
She will be following up in the near future to receive veneers on her lower teeth so that we can open her bite. The upper veneers were placed over our patient's implant crowns and we were able to do this entire case start to finish without ever having to numb her! After her dental treatment, she also received a little lip filler to correct her smile line. The "after" image was taken one week after insertion of the veneers, and gum tissue is still sculpting around them.
Individual results may vary.
Patient 8
Here is another great result from Dr. Samadian using porcelain veneers! ✨ You can see in these photos that the upper teeth were given a brighter and more uniform appearance when the veneers were placed. This patient also had a Botox treatment two weeks prior as a solution for the gummy smile.
Individual results may vary.
Patient 9
Uneven gums can make the teeth appear to be different sizes, which can lead to a less balanced smile. By administering a #Gingivectomy to our patient, Dr. Samadian was able to remove excess gum tissue and lay the beautiful groundwork to our patient's smile. He followed the gingivectomy with a veneer placement on her front, top right tooth for a beautifully symmetrical smile.
Individual results may vary.
Patient 10
Our gorgeous patient came to us looking to elevate her smile and straighten her slightly crooked lower teeth. She had existing veneers and was suffering from #GumRecession, as her side smile was collapsed and partially discolored by amalgam fillings.
We added twelve veneers on her top teeth and utilized #Invisalign on her bottom teeth to correct her discoloration, side smile, gum recession and bite problems. She always looked beautiful, but now she can boast healthy gums and bite to match!
Individual results may vary.
Patient 11
In this #BeforeAndAfter, you can see Dr. Samadian's mastery of cosmetic dentistry and extensive experience that allow him to create unmatched results like these 👏 Our patient came to us needing replacement #veneers, #gumrecession correction, and straighter bottom teeth. After discussing options with our patient, we're honored to showcase how the color, shape, symmetry, and overall look of her smile are enhanced! We replaced her veneers, added #Invisalign to her bottom teeth, and saved her gums from continuing to recess.
Individual results may vary.
Patient 12
Same day veneers on laterals with chair-side custom shading matched with patient’s natural central front teeth.
Individual results may vary.
Patient 15
A subtle change that makes all the difference! Can you tell what treatment was performed? 🦷
Our patient had an imbalanced smile due to the lack of congruity of her #7 tooth to the mirroring side. She wanted a more symmetrical appearance to her teeth, so in order to achieve this balance, we utilized a no-prep veneer, in addition to Botox for her gummy smile. #NoPrepVeneers offer tons of benefits including an overall whiter and brighter smile as well as an even, picture-perfect set of teeth!
Individual results may vary.
