- Laser Gum Contouring
Patient 1
Dr. Samadian made subtle changes to greatly improve his patient's smile. ✨ Using laser and Invisalign, he was able to eliminate her gummy smile and give the patient a better alignment.
Individual results may vary.
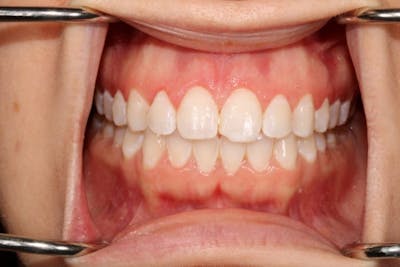
Patient 2
Our gorgeous patient has always had a bright, white smile but her teeth were slightly covered by excess gum tissue. Our Laser gum contouring utilizes soft tissue lasers to reshape your gumline and reduce the visible presence of gum tissue to help your teeth remain the star of the show 🤩 This creates a more balanced and harmonious tooth-to-gum ratio, so you can properly show off your pearly whites without having to worry about an overly gummy smile.
Individual results may vary.
